
軟骨は、膝関節や肘関節に代表される関節において関節内の骨の表面にある組織で、やや弾力性があり表面が非常に滑らかでほとんど摩擦がありません。そのため、関節は痛みもなくスムーズに動くのです。しかしながら、加齢や過大な負荷などによってこの軟骨組織が損傷を受けると、関節内で炎症が起こり、いわゆる関節痛として自覚されます。損傷を受けた軟骨組織の治療において最も重要な問題は、軟骨組織は生体内では自然再生せず、薬物投与等によって損傷した軟骨組織を再生させることが極めて困難なことです。そのため治療方法としては、体の他の部位から採取される軟骨組織の移植(軟骨修復術)を行うか、人工関節に代表される人工物による置き換え(人工関節置換術)をせざるを得ません。
現在、軟骨損傷に対する修復術には、1.マイクロフラクチャー法、2.自家骨軟骨移植法(モザイクプラスティー)、3.自家培養軟骨細胞移植術という治療法があります。

軟骨損傷

軟骨損傷
1.マイクロフラクチャー法
限局した比較的小さな軟骨損傷に対して効果的な方法です。軟骨損傷部の骨に非常に小さな幾つかの穴をつくることにより軟骨組織の下の骨髄を刺激し軟骨様組織の再生を促進する方法です。

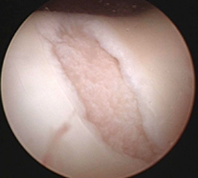
マイクロフラクチャー法

マイクロフラクチャー後
2.自家骨軟骨移植法(モザイクプラスティー)
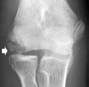
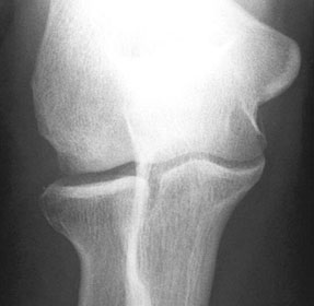
膝関節の中でも後遺症を残しにくい部分(大腿骨滑車部)から、自分の正常な軟骨を骨ごと採取し、これを膝関節や肘関節の軟骨が損傷した部位に移植する方法です。


モザイクプラスティー前


モザイクプラスティー後
3.自家培養軟骨細胞移植
自分の軟骨組織の一部を採取し、これを適当な培地及び培養基材と共に培養することによって試験管内で軟骨組織を再生させ、これを損傷部位に自家移植する方法です。